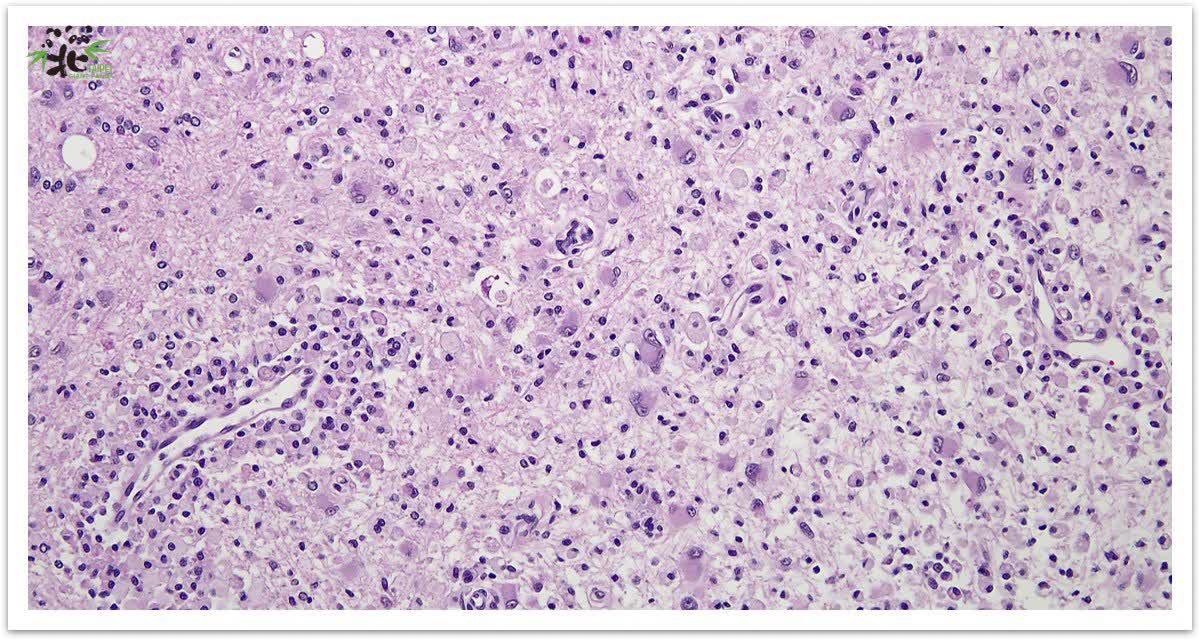
大公文匯全媒體報道:大陸贈台大熊貓「團團」上月19日凌晨連續3次癲癇發作,病情急速惡化,在沉睡中離世。台北市立動物園今日(19日)公布「團團」的病理解剖報告,指「團團」罹患「肥胖細胞型星形膠質細胞瘤(Gemistocytic astrocytoma)」,是一種原發性腦瘤,會導致大腦嚴重萎縮,也是癲癇發作的原因。
園方解釋說,「肥胖細胞型星形膠質細胞瘤」癌細胞可能生長在中樞神經系統的任何位置,「團團」的腦瘤生長在左側大腦,並伴隨大面積組織的液化壞死。同時,「團團」的大腦細胞被大量破壞,大腦嚴重萎縮。至於「團團」此病症是否為遺傳疾病,尚無足夠資料可比對分析。
園方指,「團團」是目前文獻上第二例長腦瘤的大熊貓,也是罹患「肥胖細胞型星形膠質細胞瘤」的首例。
責任編輯:
蔡洋子
評論成功,請等待管理員審核...

評論(0)
0 / 255